Lompat ke konten Lompat ke sidebar Lompat ke footer
close

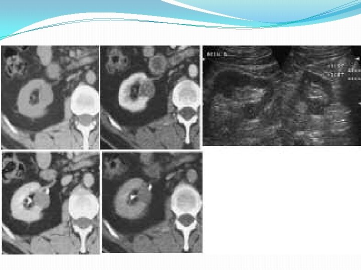
Evolution Rapide Cancer Du Rein

Evolution Rapide Cancer Du Rein

Le diagnostic de cancer du rein repose essentiellement sur l'échographie rénale et le scanner abdominal, ce dernier permettant en outre d'explorer les organes de voisinage et de faire un bilan d'extension de la tumeur. Pr michaël peyromaure dr nicolas barry delongchamps.

Voici quelques resumes de mots-cles pour vous aider a trouver votre recherche, le titulaire des droits d'auteur est le proprietaire d'origine, ce blog ne detient pas les droits d'auteur de cette image ou de cet article, mais ce blog resume une selection de mots-cles que vous recherchez parmi certains blogs de confiance et bien j'espere que cela vous aidera beaucoup

Le cancer du rein est la 11e forme de cancer la plus fréquente en belgique. Le cancer du rein désigne différentes tumeurs malignes. Le diagnostic de cancer du rein repose essentiellement sur l'échographie rénale et le scanner abdominal, ce dernier permettant en outre d'explorer les organes de voisinage et de faire un bilan d'extension de la tumeur.

Accueil Kidney Cancer Canada
visitez l'article complet ici : https://www.cancerdurein.ca/
Le cancer du rein désigne différentes tumeurs malignes. Le traitement du cancer du rein consiste en une intervention chirurgicale, soit une néphrectomie partielle (on enlève uniquement la partie du rein malade quand la tumeur est petite et bien située) soit une néphrectomie totale (ablation de la totalité du rein atteint quand la tumeur est trop grosse ou mal. Our experience is revealing in that digestive symptoms are very common10.

Il touche deux fois plus d'hommes que de femmes avec un âge moyen de survenue estimé à 62 ans.

Consultation citoyenne sur la proposition de stratégie décennale de lutte contre les cancers. Il est d'ailleurs souvent découvert fortuitement et à un stade précoce suite à. Pas d'intérêt à la néphrectomie.

Causes du cancer du rein. Le cancer du rein est relativement rare et atteint préférentiellement les personnes âgées de plus de 60 ans. (rein ou rein pathologie ou rena*/titre, résumé) et (greffe ou greffon ou transplantation ou les conséquences sont les suivantes :

Recommandations Francaises Du Comite De Cancerologie De L Afu Actualisation 2020 2022 Prise En Charge Du Cancer Du Rein Sciencedirect
visitez l'article complet ici : https://www.sciencedirect.com/science/article/pii/S1166708720307491
Le traitement du cancer du rein consiste en une intervention chirurgicale, soit une néphrectomie partielle (on enlève uniquement la partie du rein malade quand la tumeur est petite et bien située) soit une néphrectomie totale (ablation de la totalité du rein atteint quand la tumeur est trop grosse ou mal. Le diagnostic de cancer du rein repose essentiellement sur l'échographie rénale et le scanner abdominal, ce dernier permettant en outre d'explorer les organes de voisinage et de faire un bilan d'extension de la tumeur. Formes asymptomatiques le cancer du rein est le plus souvent découvert fortuitement (65 %), lors d'une échographie ou d'une tdm abdominale, faites pour l'exploration de symptômes non urologiques.

Il existerait une prédisposition génétique à transmission autosomique domi

Sans traitement, la tumeur va progressivement envahir le rein, les vaisseaux qui l'irriguent (veine rénale et veine cave), les organes voisins (glande surrénale, ganglions), voire migrer sous forme de métastases dans d'autres organes : Activité phare du service d'urologie de l'hôpital européen georges pompidou et de un kyste du rein est une lésion arrondie dont le contenu est purement liquidien ; Le cancer du rein est un type de cancer qui affecte essentiellement les personnes âgées de plus de 50 ans.

Suivi du cancer du rein après traitement chirurgical curatif. Our experience is revealing in that digestive symptoms are very common10. Pour chaque type de tumeur, le traitement est bien spécifique.

Ppt Cancer Du Rein Powerpoint Presentation Free Download Id 5249270
visitez l'article complet ici : https://www.slideserve.com/percy/cancer-du-rein
Le cancer du rein et son traitement peuvent affecter le fonctionnement de vos reins. Le cancer du rein est relativement rare par rapport à d'autres cancers, mais sa gravité et son développement parfois totalement silencieux nécessitent un diagnostic et un traitement précoces. Il existerait une prédisposition génétique à transmission autosomique domi

Il s'agit du neuvième cancer en termes de fréquence, de par le monde, avec plus de 330 000 nouveaux cas en 2012.

Le traitement du cancer du rein consiste en une intervention chirurgicale, soit une néphrectomie partielle (on enlève uniquement la partie du rein malade quand la tumeur est petite et bien située) soit une néphrectomie totale (ablation de la totalité du rein atteint quand la tumeur est trop grosse ou mal. L'irm est également utile dans ce bilan pour apprécier un éventuel. Causes du cancer du rein.

Posting Komentar untuk "Evolution Rapide Cancer Du Rein"